Cardiac
GI
Bone
GU
Neuro
Peds
Faculty
Student
Quizzes
Image DDX
Museum
Mobile
  Misc
Videocasts
Signs
Twitter

 

 


Learning
Radiology:
Recognizing
the Basics

Available
on the Kindle
and IPad


LearningRadiology Imaging Signs
on Twitter


 

Follow us on

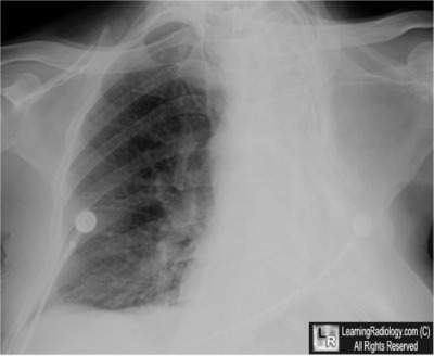
Case of the Week 508


What is the most likely diagnosis?

  • 85 year-old male with shortness of breath



Frontal Chest Radiograph

  1. Large left pleural effusion
  2. Atelectasis of left lung
  3. Left pneumonectomy
  4. Tension pneumothorax on right
  5. Thoracoplasty for TB

Additional Images-None

 

Additional Images

 

 

None


Answer:

 

5. Thoracoplasty for TB

 

More (Click Discussion Tab)

 

 

Thoracoplasty for TB

General Considerations

·         Defined as a “remodeling or reshaping of the thorax; especially, the operation of removing the ribs, so as to obliterate the pleural cavity in cases of empyema”

·         Thoracoplasty was used from the early 1900’s through the late 1950’s as one of the more permanent forms of collapse therapy for TB

o       Frequently used as a last resort in gravely ill patients

·         Collapse therapy was based, at least in part, on the observation that healed tuberculous cavities were closed and not open

o       The therapies were directed towards closing the cavities


MORE . . .

 


.

This Week

85 year-old male with shortness of breath
 
Presented as a series of cards, this podcast asks some of the most common causes of neuroimaging findings and diseases making it ideal for a quick review. Can be used as either an audio only or audio/video podcast.; Complements Video Flashcard Podcasts 15, 21,25, 38, 42, 46 and 47.
 
 
Some of the fundamentals of interpreting chest images
 
The top diagnostic imaging diagnoses that all medical students should recognize according to the Alliance of Medical Student Educators in Radiology
 
Recognizing normal and  key abnormal intestinal gas patterns, free air and abdominal calcifications
 
Recognizing the parameters that define a good chest x-ray; avoiding common pitfalls
 
How to recognize the most common arthritides




LearningRadiology
Named Magazine's
"25 Most Influential"



See Article on LearningRadiology
in August, 2010
RSNA News


LearningRadiology.com
is an award-winning educational website aimed primarily at medical students and radiology residents-in-training, containing  lectures, handouts, images, Cases of the Week, archives of cases, quizzes, flashcards of differential diagnoses and “most commons” lists, primarily in the areas of chest, GI, GU cardiac, bone and neuroradiology.